01/05/2015
Por Danilo Evaristo em
SaúdeIdentificado vírus causador de doença misteriosa na BA

Foto: Hebert Viera/Arquivo pessoal
G1 BA – Dois pesquisadores do Instituto de Biologia da Universidade Federal da Bahia (UFBA) descobriram o vírus causador da doença cujos sintomas são semelhantes aos da dengue e que vem assustando a população baiana: o Zika Vírus, que é transmitido pelos mosquitos aedes aegypti, aedes albopictus e outros tipos de aedes. De acordo com Gúbio Soares, pesquisador que fez a descoberta junto com Silvia Sardi, é a primeira vez que o vírus é identificado na América Latina, sendo mais comum na África e Ásia. A dupla suspeita que o vírus chegou à Bahia por causa da Copa do Mundo de Futebol, realizada em 2014 no Brasil.
“A Copa atraiu pessoas do mundo inteiro. Então acreditamos que algumas pessoas que estavam infectadas foram picadas pelos moquitos trasmissores, e o vírus foi passado para outras pessoas”, diz. A identificação do vírus foi realizada nesta semana, após a dupla de pesquisadores trabalhar por cerca de 20 dias em amostras de sangue de pacientes de Camaçari, cidade da região metropolitana de Salvador por meio de uma técnica chamada RT-PCR, que amplifica o material genético do vírus, através de reagentes, aumentando o sinal deste material genético.
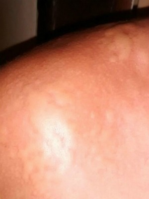
Segundo Gúbio, o Zika Vírus causa um quadro muito parecido com o da dengue, em que o paciente pode apresentar sintomas como febre, diarreia, dores e manchas no corpo. Porém, este novo vírus é mais fraco e os sintomas mais brandos. “Zika Vírus não é tão grave quanto dengue ou chikungunya, não leva o paciente à morte. O quadro parece alérgico, é mais tranquilo e o tratamento é o mesmo”, explica o pesquisador.
Além destes sintomas, o paciente pode apresentar sinais de conjuntivite. “O tratamento é o mesmo para dengue: Paracetameol. Você não combate o vírus. Isto quem faz é o seu organismo. Você combate os sintomas”, afirma Gúbio. Gúbio acrescenta que, em geral, os sintomas duram cerca de 12 dias até desaparecerem. “O importante é procurar um médico, assim que os sintomas começarem”, diz.
0 Comentários